తుమ్మును ఆపుకోవడానికి ప్రయత్నించడం వల్ల ఒత్తిడి పెరిగి ఇలా జరిగిందని, ఇలాంటి ఘటనలు చాలా అరుదుగా జరుగుతుంటాయని వైద్యులు చెబుతున్నారు.
తుమ్ము వస్తే ఆపుకోవద్దని మన పెద్దలు చెబుతూనే ఉంటారు. అయినా కొన్ని సందర్భాల్లో ఆపుకోవడానికి ప్రయత్నిస్తుంటారు. ముక్కుని నలపడం ద్వారా తుమ్ములను ఆపుతుంటారు. అయితే ఒక అరుదైన ఘటనలో ఇలా తుమ్మును అదిమి పెట్టడం వల్ల.. శ్వాసనాళం పగిలిపోయింది. తుమ్మును ఆపుకోవడానికి ప్రయత్నించడం వల్ల ఒత్తిడి పెరిగి ఇలా జరిగిందని, ఇలాంటి ఘటనలు చాలా అరుదుగా జరుగుతుంటాయని వైద్యులు చెబుతున్నారు.

లైవ్ సైన్స్ లో ప్రచురించిన ఒక నివేదికలో ఈ కేసును పేర్కొన్నారు. ఓ వ్యక్తికి కారు నడుపుతుంటే తుమ్ములు వచ్చాయి. దీంతో అతను ఆపుకోవడానికి ప్రయత్నించాడు. తుమ్మును ఆపడానికి ముక్కును నలపకుండా చేతితో నోటిని, ముక్కును మూసేశాడు. దీంతో తుమ్ము ద్వారా బయటికి రావాల్సిన శక్తి అంతా ఆయన శ్వాసనాళంపై పడింది. రెండు మిల్లీమీటర్ల మేర శ్వాసనాళం పగిలిపోయింది. వాయినాళాన్ని మూసేయడంతో ఒత్తిడి పెరిగి ఇలా జరిగింది. 0.08 ఇంచుల మేరకు వాయినాళం చిరిగిపోయింది.
Parliament Attack 2023 : నా కొడుకు తప్పు చేస్తే ఉరితీయండి.. నిందితుడి తండ్రి
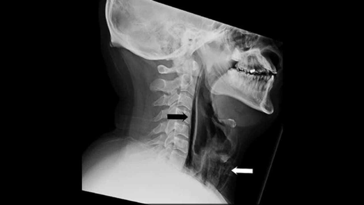
దీంతో అతనికి వాయినాళంలో భరించలేని నొప్పితో పాటు.. మెడ రెండువైపులా వాచింది. వెంటనే డాక్టర్ దగ్గరికి పరిగెత్తాడు. వైద్యులకి లోపల నుండి చిన్న శబ్దం వినిపించింది. అయితే అతనికి ఆహారం తీసుకోవడంలోనూ, మాట్లాడడంలోనూ ఎలాంటి ఇబ్బంది ఎదురు కాలేదు. ఆ తర్వాత ఎక్స్ రే తీయ్యగా అతనికి సర్జికల్ ఎంపీసెమా ఉందని తేలింది.
సర్జికల్ ఎంపిసెమా అంటే చర్మం లోతైన కణజాల పొరల్లో గాలి చిక్కుకు పోతుంది. సిటీ స్కాన్ ద్వారా అతని మెడలో మూడు, నాలుగు వెన్నుపూసల మధ్య చీలిక ఉన్నట్లు తేలింది. ముక్కూ, నోరు మూసుకుని తుమ్మును ఆపుకోవడానికి ప్రయత్నించడంతో ఇంత తీవ్రమైన నష్టం జరిగిందని వైద్యులు తెలిచారు. అయితే ప్రస్తుతానికి అతనికి ఆపరేషన్ అవసరం లేదని.. శరీరంలోని అన్ని శరీర ప్రక్రియలు సరిగానే ఉన్నాయని తెలిపారు.
రెండు రోజుల పాటు ఆసుపత్రిలో ఉంచారు. అన్ని రకాలుగా పరీక్షించారు. ఆ తర్వాత డిశ్చార్జ్ సమయంలో నొప్పికి, హై ఫీవర్ కు మందులు ఇచ్చారు. రెండు రోజులపాటు శారీరక శ్రమకు దూరంగా ఉండాలని సూచించారు. ఆ తర్వాత మరో ఐదు రోజులకి సిటీ స్కాన్ చేసి వాయునాళం పరిస్థితిని గమనించారు. అందులో చిరిగిన భాగం పూర్తిగా నయమైనట్లుగా తేలింది. ఈ ఘటన నేపథ్యంలో డాక్టర్లు తుమ్మును ఆపుకోవద్దని హెచ్చరిస్తున్నారు. శ్వాసనాళం దెబ్బతినడం చాలా అరుదుగా జరుగుతుందని తెలిపారు. అలాగని అసలు దానికి అవకాశం లేదు, అసాధ్యం అనడానికి లేదని అన్నారు.
