ఏపీలోనూ బ్లాక్ ఫంగస్ చాపకింద నీరులా విస్తరిస్తుండటంతో దీని చికిత్సను రాష్ట్ర ప్రభుత్వం ఆరోగ్యశ్రీ పరిధిలోకి తీసుకొచ్చిన విషయం తెలిసిందే
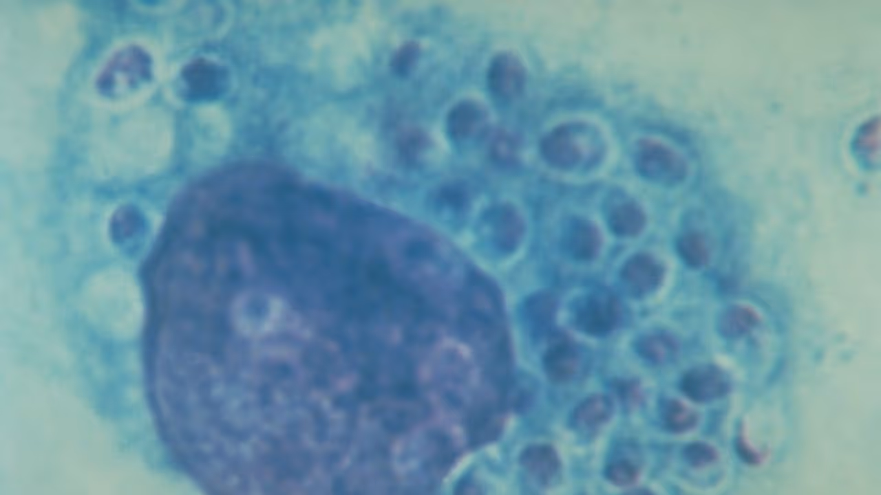
ఎన్నో వ్యయ ప్రయాసలకోర్చి కరోనా నుంచి కోలుకున్నామన్న ఆనందం జనంలో కనిపించడం లేదు. కోవిడ్ విజేతలపై బ్లాక్ ఫంగస్ విరుచుకుపడుతోంది. కరోనా కంటే భయంకరంగా అవయవాలను తినేస్తూ.. రోజుల వ్యవధిలోనే ప్రాణాలు తీసేస్తోంది.

దీంతో ప్రజలు భయాందోళనకు గురవుతున్నారు. కోవిడ్ తర్వాత బ్లాక్ఫంగస్ లక్షణాలు కనిపిస్తుండటంతో బాధితులు చికిత్స కోసం ఎక్కడి వెళ్లాలో తెలియక ఆందోళన చెందుతున్నారు. అటు ఏపీలోనూ బ్లాక్ ఫంగస్ చాపకింద నీరులా విస్తరిస్తుండటంతో దీని చికిత్సను రాష్ట్ర ప్రభుత్వం ఆరోగ్యశ్రీ పరిధిలోకి తీసుకొచ్చిన విషయం తెలిసిందే.
ఈ వ్యాధి సోకిన వారికి ఉచితంగా చికిత్స అందించేందుకు వీలుగా బుధవారం ఉత్తర్వులు జారీచేసింది. అయితే, రాష్ట్రవ్యాప్తంగా బ్లాక్ఫంగస్కు 17 ఆస్పత్రుల్లో చికిత్స అందించాలని ప్రభుత్వం నిర్ణయించింది. ఆ ఆస్పత్రుల జాబితాను ఏపీ సర్కార్ గురువారం విడుదల చేసింది.
బ్లాక్ ఫంగస్ చికిత్స అందించే ఆస్పత్రుల జాబితా ఇదే:
1. జీజీహెచ్ అనంతపురం (ప్రభుత్వ వైద్య కళాశాల)
2. ఎస్వీఆర్ఆర్జీజీహెచ్, తిరుపతి
3. స్విమ్స్, తిరుపతి
4. జీజీహెచ్, కాకినాడ (రంగరాయ మెడికల్ కళాశాల)
5. జీజీహెచ్ గుంటూరు (ప్రభుత్వ వైద్య కళాశాల)
6. జీజీహెచ్ (రిమ్స్) కడప
7. జీజీహెచ్, విజయవాడ
8. ప్రభుత్వ ప్రాంతీయ కంటి ఆస్పత్రి, కర్నూలు
9.జీజీహెచ్, కర్నూలు
10. జీజీహెచ్ (రిమ్స్) ఒంగోలు
11. జీజీహెచ్, నెల్లూరు (ఎసీఎస్ఆర్ ప్రభుత్వ వైద్య కళాశాల)
12. జీజీహెచ్ శ్రీకాకుళం (ప్రభుత్వ వైద్య కళాశాల)
13. ప్రభుత్వ ఈఎన్టీ ఆస్పత్రి, విశాఖపట్నం
14. ప్రభుత్వ ప్రాంతీయ కంటి ఆస్పత్రి, విశాఖపట్నం
15. ప్రభుత్వ ఛాతి వ్యాధుల ఆస్పత్రి (ఆంధ్రా వైద్య కళాశాల)
16. కేజీహెచ్, విశాఖపట్నం
17. విమ్స్, విశాఖపట్నం
